多くの著名人の方々にも絶大な支持を頂き、そして大変喜ばれてきた見えない歯列矯正法です。
最近では、中高生のティーンエイジャーにも、見えない矯正法をご希望される方が多くなってきました。入学式、卒業式、成人式、結婚式など人生の様々な記念日も装置を気にせず最高の笑顔で迎えられます。
「見えない矯正治療」は大きく4つの方法に分けられます。
裏側矯正も様々!(2018年度版)
矯正装置を歯の裏側に付ける「裏側/舌側矯正」と呼ばれる矯正歯科治療方法です。
従来型の表側の歯列矯正治療と同様に、どのようなタイプの歯並び、咬み合わせの状態でも治療が可能です。裏側矯正に精通した当院では、治療期間も表側の矯正装置と同一です。
「治療効果が確実」、「審美性に優れている」ことが特徴です。
※さらに詳しいことは、このページをこのまま下段へ進めご参照ください。ページ中段に詳しいページが出て参ります。
表側の矯正装置の中では人気!の表側矯正装置 クリアワイヤー!
表側に装着する矯正装置でもワイヤーまでもクリアなタイプ(クリアワイヤー)の表側矯正装置があります。
見た目は、裏側にはやや劣りますが、大変見えにくい装置で、写真撮影をしても、つけているのがわからないほど!以下の詳しいページにはクリアワイヤー装着時の写真もありますので、どうぞご確認ください。
裏側では、発音に不安な方、裏側よりコストを抑えたい方にも最適です。
※さらに詳しいことは、このページをこのまま下段へ進めご参照ください。ページ中段に詳しいページが出て参ります。

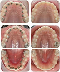
裏側装置と表側装置をコンビネーションで治療するコンビネーション装置も人気です。ハーフリンガルとも呼ばれていることがあります。
写真のように、笑った時やお話しをしている際、あまり下の歯などが見えない方であれば、上には、裏側、下には表側をお勧めします。一方、下の歯が良く見える方ですと、下に裏側、上表側の組み合わせも可能で、個別に対応することが出来ます。
上下裏側よりも、コンビネーションの方が実は舌触りや違和感、発音などに対しては快適です。上下裏側、コンビネーションともそれぞれ患者様個人個人で差異が生じそれぞれメリット・デメリットがあります。一番適した治療法をご提案させていただきますのでお気軽にご相談下さい。
※さらに詳しいことは、このページをこのまま下段へ進めご参照ください。ページ中段に詳しいページが出て参ります。

透明なマウスピースを自分自身で、装着して頂くことにより歯を動かす方法で、「ワイヤーを使わない」「取り外しが出相談来る」のが特徴です。
商品名でご説明致しますと、世界で最も普及している インビザライン、日本国内で人気のアソアライナー・クリアアライナー、その他、イークライナー、DENマウスピース、アクアシステム、オペラグラス、エシックス など、マウスピース型矯正装置も色々あります。世界中で使用されている矯正装置ですが、2017年時点の日本におきましては完成物薬機法対象外の装置ですので、使用に当たっては矯正治療に精通した医院でご相談されることをお勧め致します。
歯並びの状態、治療期間や通院回数、話しやすさ、費用など、患者様のご要望に合う装置をご提案させて頂きます。

日本でマウスピース型矯正装置(商品名インビザライン)の導入が開始された年より研鑽を積んできました。現在まで約11年の経験年数です。インビザラインに詳しい専門医院で、安心して治療を受けることが出来ます。
マウスピース型矯正歯科装置 インビザラインは、2018年4月現在において世界で1000万人以上の患者様が治療を行っていますが、現時点の日本では、インビザライン完成物は、医療機器法対象外であり、医療品副作用被害救済制度の対象外の場合がありますので実績のある医院でご相談そして治療なさる事をお勧めいたします。
マウスピース治療にも適応症(向いている人、向ていない人)があります。適応症を守り良好な治療結果を得て頂けるように日々研鑽を行っています。そしてマウスピース治療を行う上では、矯正治療一筋26年の実績データを入力します。治療計画は、あなたに最適な治療計画を個別に入力し本当に治るマウスピースを作成します。実はマウスピース作成メーカー推奨の治療計画では、良好な治療結果は生み出せません。治療効果も今一つとなってしまいます。良好な治療結果を生み出すためには、患者様のご希望と歯並びにあった個別の治療計画が必要です。GoSmile歯科矯正歯科では、これまで手掛けた8000名以上の患者様の治療から得た診断・治療方針の立案、歯の動き方と動かし方などのノウハウをダイレクトに組み込み個々のマウスピース一つ一つ丁寧に治療計画を入力し作成を行っておりますので、必ず予定の目標に到達することが出来ます。ただし推奨使用時間通りにご利用になれない場合には、治療期間が延長してしまうか、目標到達が出来ない可能性がありますので、使用時間だけはご注意下さい。さらに、もし治療終了時その結果にご満足いただけない部分がありましたら、マウスピースを無償で追加作成させていただきます。
マウスピース矯正の場合、歯型を取った後に装置を作成します。その為、通常治療中に
虫歯になってしまった場合には、虫歯治療の為装置が不適合となってしまい治療継続が困難になってしまいます。また虫歯治療の為に一般歯科医院に通院し、その後矯正医院へ戻り再度歯型の取り直しを行い作成会社に作成依頼を行ってようやく治療継続できるマウスピースが出来上がってきます。その間の時間的なロスは思ったよりも大きく治療期間の延長を余儀なくされてしまいます。
GoSmile歯科矯正歯科では、矯正治療と同時に虫歯治療も可能で、虫歯の治療の際には、
元々の歯の形、大きさの状態に寸分狂いなく復元治療する技術を持っています。よって装置の再製は必要ありません。装置再製による治療期間のロスや装置再製費用の無駄もなく治療継続が可能です。治療中も安心して治療を行うことが出来ま
治療開始後5年間の間、装置の破損、紛失の場合でも¥0でマウスピースを再製させていただきます。また治療後、リテーナーなどの未使用により後戻りが生じてしまった場合には、新たなマウスピースを作成し後戻りの補正を行います。その際の装置作成費用も¥0とさせていただきますので、治療中も治療後も安心です。
歯の移動チェックシステム※を導入すると治療中「短期留学」や「通院間隔を伸ばす」ことが可能となり遠方から通院なさっている方やお忙しい方は、「通院回数を減らす」ことが出来るようになりました。
※歯の移動チェックシステムは、遠隔よりあなたの歯並びや歯の移動をコンピューター上でチェックします。予定通りに正確に歯の移動が生じているのかどうか、その他問題が発生していないかどうかということを、通院することなく担当医がチェックを行うと共に、システムコンピューター上で予め計画された治療計画や予定と照らし合わせながら、自動的に歯の移動チェックを行います。何らかの緊急時(歯が予定と異なる移動が生じてしまった。治療効果が出ていない。装置が壊れてしまった。歯が異常に削れてきている。歯ブラシが行き届いていない。等)には、アラートメール(お知らせ)でご本人やご父兄の方へお知らせを送信することが出来る画期的なシステムです。患者様がお子様の場合には、ご両親までも非常に安心して治療を進めることが出来ます。
短期間の矯正治療を併用すると治療期間の短縮が可能です。治療期間を短縮したい方は、もちろん、何らかの理由(仕事の関係上日中マウスピースをご利用できない方、少しおさぼりしてしまう方、忘れがちの方、など)によりマウスピースシステムの推奨使用時間に到達できない方にもお勧めの方法で、歯の周囲骨(歯槽骨)の新陳代謝が活性化することによって、使用時間が短くなってしまっても、予定通りに歯の移動を達成することが出来、治療期間の延長を食い止めることが出来るというメリットもあります。
さらに詳しいことは、このページをこのまま下段へ進めご参照ください。ページ中段に詳しいページが出て参ります。
装置を歯の裏側に!表からは見えません。人に気が付かれず、いつのまにか歯並びが改善。
裏側矯正治療システムは、この20年で大きく進歩し大きな変革が起こってきました。現時点(2018年)でGoSmile歯科で採用している裏側矯正システムは、患者様ごとにすべてオーダーメイドで作成され効率化のはかられた装置であること、インダイレクトボンディングシステムにより、より正確な位置に装置装着が可能で正確に歯が移動すること、規格化されたワイヤーにより効率的な歯の移動が可能となっていること、といった部分ではどれも共通しますが、大きく分けると製造過程がすべてデジタル化されたものと、歯科技工士のもとで丁寧に制作されたものに分けることができます。
デジタル化されたものは、矯正歯科用CAD/CAMシステムを利用し、熟練度に左右された技術的な部分を均一化できる、材料の品質が保たれ長期間安定している、安全性や強度、審美性にすぐれた素材が使用できるというメリットがあります。患者様お一人お一人の歯並びをスキャニングしてコンピューターに取り込み、個別の装置とワイヤーをロボットが作るシステムです。装置一つ一つを機械によってオーダーメイドで作るとともに、ワイヤーもロボットが作成するシステムです。装置の商品名では、ハーモニー、インコグニート、ウインなどがその代表的なものです。
[2]
一方、熟練の裏側矯正専門の歯科技工士の元、一つ一つ丁寧にセットアップされて作成使用されたシステムがあります。歴史も長く、様々なバージョンアップがなされ治療結果も良好で安心して治療出来るシステムです。代表的なものでは、クリッピーL、STb、2Dリンガルなどがあります。
「見えない矯正専門医院」で、あなたのお口に一番適した裏側矯正法を選択しましょう。
私どもは、GoSmile歯科矯正歯科開院以前より裏側矯正治療を行って参りました。2018年現在、約25年の裏側矯正の治療経験があります。その間も日進月歩する裏側矯正を日本国内だけの学びでは不十分と考え世界中で研鑽、そして改良を進めてきました。裏側矯正は、高度な技術と知識、経験が要求されます。ほんの数年学んだだけで治療をマスター出来るようなことは出来ない難易度の高い治療法です。その為、まだまだ矯正専門医の中でも一般的ではない矯正治療なのです。矯正医の知識・技術を表す指標として参考になるものには、日本最大の矯正学会である日本矯正歯科学会には、認定医、指導医、専門医等の資格があります。(当院には私を含め数名の認定医、指導医が在籍していますが)しかしながらこれら○○医等の資格取得の要件には裏側矯正の知識・技術評価は、一切入っておりません。あくまで表側矯正のみの実績評価なのです。大多数の医院では、裏側矯正を「全く行わない」、もしくは「ほとんど活用したことがない」というのが大多数を占めています。よって一般的な矯正専門医院でも、ある医院で相談してみたら「仕上がりが良くない」、「治療期間が長くなる」、「治療後半に表側に装置をつける必要がある」などと言われたり、裏側矯正治療ではなく「表側の治療を薦められた」、さらには裏側矯正装置で治療を開始したものの治療途中に「もう治療の限界、表側に変更するか、治療を終えるか考えてきてください」と言われたというような方々が多いのはそのような背景があることも一つの理由です。
当院では、治験数、経験年数も多く裏側矯正に習熟していることから、表側の矯正治療と比較して治療の仕上がり、治療期間も同一以上で安心して治療をお勧めすることが出来ます。また裏側治療中に表側に変更を行うようなケースは見当たりません。一方、歯並びの状況によっては、表側より裏側治療のほうが適している方も見受けられます。現在、裏側矯正システムも様々で、それぞれメリット・デメリットがあります。各々の患者様に適したシステムをご提案させて頂きますのでお気軽にご相談下さい。
GoSmile歯科では、院内に裏側矯正装置を矯正歯科専門技工士3名が在籍し、あなたの歯並びに最適なカスタムメイドの装置を日々改良を重ね作成しております。(日本では、まだまだまれな体制です。通常は外注技工で装置を作成します。)その為、治療中に装置のアレンジが必要になった場合や、予期せぬ装置の破損などが生じてしまった場合にも、即座に改善を行い治療の継続が可能です。また、最近では、コンピューターセットアップを行い、装置やワイヤーをロボットが作成する裏側矯正システムも幾つかございますが、装置の紛失、装置のアレンジやワイヤーの破折などが生じてしまった場合、海外に再度製品を発注する必要が生じてしまいます。海外メイドですので、納期に時間がかかり治療再開までには数週間を要し治療が効率よく進められない可能性を秘めているのがこれらのシステムのデメリットです。しかしながらGoSmile歯科では、院内に裏側矯正専門の技工士が在籍中ですので、何かのトラブルが生じてしまっても適宜対応が可能で、時間的なロスを招くことなく安心して治療継続を行うことが出来るというメリットがあります。あなたに一番適したカスタムメイドした裏側矯正装置を選択、製作、質の高い裏側矯正治療をご提供しております。
裏側矯正は、あなたは出来ない、あなたには向いていないと言われたという患者様が多数ご来院しています。見えない矯正専門の治療システムと25年に及ぶ熟練した技術により、従来型の表側の矯正治療と同様に、どのようなタイプの歯並び、咬み合わせの状態でも治療が可能です。
裏側矯正の治療実績、経験も十分な為、治療期間も表側の矯正装置と全く変わりません。
また、短期間の矯正治療を併用すると治療期間を大幅に短縮することまで可能です。短期間の矯正治療の方法も様々ですので、詳細ページをご参照ください。
詳しくは、短期間の矯正治療ページをご参照ください
大人の方で、不正咬合がある場合、歯並び、かみ合わせが悪いだけでなく、不正咬合の為に歯茎やその下の歯槽骨(歯を支える骨)までにもダメージがある方がほとんどです。
通常の矯正治療だけでは、歯並び、かみ合わせの治療は可能ですが、歯槽骨や歯茎のダメージの回復までの再生治療は困難です。短期間の矯正治療AOO,PAOOを併用すると歯並び、かみ合わせを治療するだけでなく、歯を支える骨、歯茎までも健康な状態に誘導することが出来る矯正治療法です。
本システムは、フランスの矯正医であるPatrick C.Curielにより考案・開発された裏側矯正システムです。
矯正歯科用CAD/CAMシステムを利用し、一人一人の歯並びをスキャニングしコンピューターに取り込み個別の装置とワイヤーをロボットが作るシステムです。さらにセルフライゲーションブラケットの為、ローフリクション・ローフォーステクニックが適応出来ます。装置とワイヤー間の摩擦から開放され少ない力で効率的な歯の移動が可能で歯の移動時の痛みも最小限で済みます。(完成物薬機法対象外)
本システムは、ドイツの裏側矯正専門医であるWiechmannにより開発されました。矯正歯科用CAD/CAMシステムを利用したシステムでは一番歴史長い装置です。一人一人の歯並びをスキャニングしてコンピューターに取り込み個別の装置とワイヤーをロボットが作るシステムです。当院では、日本にデリバリーが始まる初年度から取り扱いを開始、本システムを開始した数少ない第一期生で国内では最長の経験を持っています。こちらの装置は金合金であるため金属アレルギーが心配な方にも比較的安心して使用出来ます。装置は薄く違和感も最小限で良いのですがセルフライゲーションシステムではなくローフォース・ローフリクションテクニックの採用は出来ません。またシステムで用意されたワイヤーは、剛性が高すぎるワイヤーで他のシステムと比較すると装着直後痛みの現れやすいシステムです。(完成物薬機法対象外)
裏側矯正の進化!「装置が小さく違和感が最小」、「治療時間が短い」、「治療期間が短い」本装置は、上記の装置と同じ開発者ドイツのWiechmannが開発、さらにバージョンアップさせたリンガル矯正装置です。カスタムメイドのブラケットベースで、非常にフラットなデザインで優れた快適性が魅力です。ドイツ製で、難症例にも対応しています。2015年2月日本デビューの裏側矯正装置です。(完成物薬機法対象外)
裏側矯正の進化! カスタムメイドの裏側矯正システム
本装置は、ブラケットの厚みが非常に薄く、装着後の違和感を軽減します。
セルフライゲーションブラケットで、ローフリクション・ローフォーステクニックの適応が可能な装置です。スムースな歯の移動と痛みの少ないシステムです。またセルフライゲーションシステムの為、ワイヤーの固定が速やかで院内での処置時間短縮にもつながっています。日本製の為、非常に製品精度の高いブラケットで、正確な歯の移動が可能です。装置もなめらかで発音障害も少なく清掃性も良好です。インダイレクトボンディングシステムを採用しておりますので、正確な位置にブラケットの設置が可能で、効率よく歯の移動を行うことが出来ますので安心して治療を進めることが出来ます。
本システムは従来型の装置と異なり、非常に小型化されていますので、発音がしにくかったり、装置が舌に接触する際の違和感などの問題点が改善されています。

[矯正歯科の新 しい技術]
「小さい」、「話しやすい」、「動きが早い」、
世界最小の裏側矯正装置、それにより舌触りが大きく改善、裏側矯正装置のデメリットを解消しました。またローフリクションを達成していますので、小さな力で、無理なく歯を移動します。体にもやさしく、違和感も最小の裏側矯正です。

本装置は、セルフフライゲーションのブラケットにリンガルストレートワイヤーシステムを融合させた世界初の画期的なリンガルブラケットです。
従来の裏側矯正治療の欠点であった複雑なワイヤーベンディングを必要としません。
セルフライゲーションであるためワイヤーの装着に時間を取られることがなく、チェアータイムが短縮されます。最適な力のワイヤーは摩擦が少なく歯牙の移動をスムーズにします。それにより治療に要する期間も短縮されます。弱い力で歯牙を移動させるため痛みが少なく、歯にも患者さまにも優しい治療法です。快適性の向上により、発音障害も少なく清掃性も向上しました。(完成物薬機法対象外)

本装置は、厚さわずか1.3ミリでさらに丸みをもったエッジデザインで患者さんに快適な装着感を提供します。容易にアーチワイヤーをブラケットに挿入できる セルフライゲーション ブラケットです。違和感が少ないという大きなメリットがある反面、歯の複雑な移動が必要な症例には向いていないため、基本的に軽度の不正のケースが適応症となります。

究極の審美性! 裏側はもう当たり前「大きく笑っても見えない」完璧の審美性!金属アレルギーがあっても安心!通常、矯正ワイヤーとブラケットと呼ばれる矯正装置を輪ゴムや細いワイヤーで止めなおして治療を進めますが、ブラケットが、クリップ状となっていてワイヤーなどで止める必要がありません。毎回の治療時間の短縮、治療期間の短縮が出来ます。
毎回大きなお口を長い時間、開ける必要もなく、患者さまにとっては快適な裏側矯正システムです。(完成物薬機法対象外)
裏側矯正装置は、歯の裏側に装着しますので、通常は表側からは見えません。しかし大きなお口を開けたとき、大きく笑った時などには、下あごに装着した金属製の裏側矯正装置がちらっと見えてしまうことがあります。そこで笑った時にもわからない白い裏側矯正装置の登場です。特にアナウンサー、モデル、芸能関係の方々に非常に喜ばれています。
また今まで金属アレルギーで矯正を諦めていた方にも最適な矯正装置です。本装置は、GoSmile歯科にて研究、開発を行っています。
アメリカでは、歯列矯正は、ある意味ステータスなので、ほとんどの方がメタルの装置なのです。矯正をしていることをアピールしてます。文化の違いですね。
最近は日本でもようやく表側に矯正装置を付けてアピールする方も増えてきました。
でも一方で、裏側矯正は、ヨーロッパや日本で大人気です。そのためヨーロッパ発の裏側矯正システムが多いのもその理由の一つです。
矯正って欧米のイメージがありますが、実は日本の裏側矯正の開発、技術力は実は世界屈指です。(裏側専門に取り組んでいるわずかな医院に限られますけれども、、、。)
「矯正歯科治療法にも大きな改革の波が、、、」
近年、アメリカ矯正歯科学会でも特に話題であったのが、矯正用アンカースクリュ―を用いたト矯正法(以下、TAD)と短期間の矯正治療法です。世界の矯正学会のトピックの殆どが、「矯正用アンカースクリュ―を用いた矯正法、TAD」と「短期間の矯正治療」に!
TADによって、矯正診断や矯正治療法が大きく様変わりしようとしています。今まで困難とされてきた方向への歯の移動が簡単に出来るようになってきました。従来型の治療では、限界とされてきた部分を大きく改善する事が可能です。また今まで抜歯をしないと治療不能と考えられていた方が抜歯の回避が可能になったり、外科矯正という手術を行わないと矯正治療が出来なかった方も手術を回避出来るようになりました。これにより非常に質の高い治療をご提供する事が可能になってきています。当院でも多くの方がアンカー矯正の治療をされ一歩上の治療結果を手に入れています。詳しくは、「アンカーインプラント矯正・TAD矯正」ページをご参照ください。リンクへ
そして「短期間の矯正治療法」は、歯の周囲のあごの骨の新陳代謝を促進して安全にかつスピーディーに歯を移動させることが出来る治療法です。成長期の子供達は、新陳代謝が旺盛の為、歯の移動も早く、治療期間が延長しにくいですが、子供と比較すると成人の場合、新陳代謝がやや劣り気味です。その為、成人矯正は、時間がかかる、治療期間が少し伸びるなどと言われている所以です。そこで成人の方の新陳代謝を活発にしながら矯正治療をおこなうというシステムが短期間の矯正治療です。
詳しくは、短期間の矯正治療ページをご参照ください
一人ひとりの歯の色を映す パーソナライズド カラーマッチング
光の波長を吸収するセラミックを使用したブラケットは、光がブラケットを透過して歯面に到達すると、その光が歯の色をブラケットに反射させるしくみになっています。他のメーカーのブラケットと並べて観察してみるとさほど差はないように見えますが、いざ日本人の歯につけてみるとその差は歴然!
歯につけると圧倒的に「きれい」と評判のブラケットです。
一人ひとりの歯の色にマッチするきれいな矯正装置(ファインセラミック)とエステティックワイヤーのクリアワイヤーの最先端の組み合わせ:クリアワイヤー
GoSmile歯科矯正歯科では、2000年開院当初より、白色のワイヤーを使用開始し約18年もの実績があります。最近では、白色のワイヤーも種類が増えてきました。白いワイヤーには、コーティングタイプ、メッキタイプ、樹脂タイプの3種類に大別されます。この中のコーティングタイプは、さらにフルコーティングと部分コーティングというカテゴリーに分かれます。今まで世界中で発売された白いワイヤーを発売毎に必ず品質チェックしてきました。いざ装着してみると、白人用で日本人には白すぎて逆に余計に目立ってしまうもの、コーティング色がすぐ剥げてしまうもの、メッキの為金属色のままで審美性が普通のワイヤーとあまり変わらないもの、樹脂の為すぐに破折してしまうもの、変色してしまうもの、コーティングによってワイヤーサイズが太くなりすぎてしまいブラケットとの接触面の摩擦が大きくなり歯の移動を妨げ治療期間が延長してしまうもの、またコーティングの影響から実際のワイヤーサイズが実際の表示径より小さくなってしまい正確な歯の移動を生じさせないものなど製品によって品質は様々です。すぐさまお勧めできるようなワイヤーはまだまだ少ないのが現状です。
当院おすすめの「クリアワイヤー」は、部分コーティングという製品に属します。歯の表側面の部分が、日本人の歯の色に合わせた自然な白さのエステティックワイヤーです。コーティングが表面で、内面のブラケット面の摩擦が少なく、ワイヤーサイズが実際の表示径より小さくなることもありません。見た目の美しさは日本人に適した優れた色調を示し、性能的にも普通のワイヤー同様に使うことができる白いワイヤーです。
クリアワイヤーは、一人ひとりの歯の色を映し歯に溶け込むきれいな矯正装置・ファインセラミックと日本人の歯の色に合わせた自然な白さのエステティックワイヤーの組み合わせ、審美面、機能面共にお勧め出来る装置です。
写真に撮ってもほぼ写らない!わからない!
音楽専攻の高校に通われている、現役の女子高生Sさん。
クリアワイヤーで治療をされているのですが、自分で着けてみて実感されたことがあるといいます。
「この装置、写真に撮っても全然写らないですよね!
本当に目立たなくて、すごく良いです!!」
女子高生といえば、周囲の目が一番気になるお年頃なのでは…。
しかし、そんな世代のSさんがクリアワイヤーなら見た目が気にならないとおっしゃられたそうです。
最近は、自分の写真を撮ってSNSに投稿する方も増えてきました。写真映りが良いというのは、とても大事なことかもしれません。
また挙式の前撮り等の際でも、気にすることなく写真撮影が可能な装置です。
矯正中でもためらうことなく写真が撮れる、目立たない装置 クリアワイヤーです。
1:ファインセラミックと2:クリアワイヤーとの比較が出来ます。
笑った時やお話ししている時に、上の前歯がよく見える人は、上に裏側装置、下に表装置がお勧めです。一方、下の前歯がよく見える方は、下に裏側がお勧め!それぞれご希望にあわせて装着が可能!です。
また表側の装置の場合、ワイヤーの色もご選択頂けます。
最近の1番人気は?
上の歯に裏側の装置(裏側矯正装置のページからご選択可能です)、下には、表側のきれいな見えない装置「クリアワイヤー」の組み合わせです。
従来型の矯正装置、固定式装置を使用せずに、「アライナー」や「マウスピース」を使って歯列矯正を行う矯正法です。商品名でご説明致しますと世界で最も普及している インビザライン、日本国内で人気のアソアライナー・クリアアライナー、その他、イークライナー、DENマウスピース、アクアシステム、オペラグラス、エシックス など、マウスピース型矯正装置も色々あります。

見た目は同じようですが、製作方法は大きく分けて2種類あり、①マウスピース交換の都度歯型を採り、模型上で歯を動かし作成するハンドメイドタイプ、②治療開始前の歯型をデジタルスキャニングし、コンピューターシステム上で歯の移動をシミュレーションし、3Dプリンターで作成するデジタルタイプがあります。
①のハンドメイドタイプは、歯型の模型上で歯科技工士が歯を移動させ作成しますので、製作する歯科技工士の腕前に依存します。技工所では特別なシステム構築や機械を導入することなく製作することが出来るため、比較的安価で治療することが出来ます。
②のデジタルタイプは、治療開始前の歯型をデジタルスキャニングし、歯科医師が診断した個別の治療方針を入力し、歯の移動をシミュレーションするため、歯科医師の診断・技術力が治療の鍵を握ります。
また装置やシステムによって治療効果も大きく異なります。マウスピース装置の種類によって交換のペースは異なりますが、約1~2週間ごとに交換し治療を進めます。装置の装着時間は、食事、歯磨きをする時以外、終日装着がお勧めですが、推奨装着時間は、装置の種類によっても変わっています。個々のマウスピースでは歯を0.2ミリ~0.5ミリずつ歯を移動します。移動量も、マウスピースの素材も1種類のものからソフトタイプから徐々にハードタイプに移行させるシステムもあり、それぞれ装置のシステムによって異なっています。
GoSmile歯科では、比較的軽度の不正咬合の方の一部や簡単な部分矯正を除く多くの症例に②のデジタルタイプを採用しています。その理由としては、歯を動かした経験のない外注の歯科技工士に全てを依存するのが困難であるという点と、私共の26年間矯正一筋で積み上げてきた矯正のデータ、これまで手掛けた8000名以上の患者様の治療から得た診断・治療方針の立案、歯の動き方と動かし方などのノウハウをダイレクトに個々のマウスピースに組み込むことが出来るからです。歯並びの状態、治療期間や通院回数、話しやすさ、費用など、患者様のご要望に合う装置をご提案させて頂きます。
目立たない、見えない
固定式の装置がつかないので、歯磨きがしやすい
食事の時には取り外せるので、食事中も安心
金属アレルギーの方は、安心して矯正治療が可能
お仕事等何か支障がある場合には一時的に装置を外すことが出来ます。
従来の矯正装置と同じくらいです。1、5~2年が目安。しかしながら、日本
人などの東洋人は出っ歯、がたがたの歯並びが、多いため多少これよりも
長くなる方もおります。個人差がございます、詳細はお尋ねください。
また、治療期間を短くしたい方、マウスピース矯正装置の装着時間を推奨時間ほど使えない方には、短期間の矯正治療を併用し、最大50%の治療期間の短縮や装着時間が少なくても効率よく移動出来るように調整することも可能です。
詳しくは、短期間の矯正治療ページをご参照ください
マウスピース型矯正装置にはいくつかの種類があり、治療の方法や効果は大きく異なります。世界で最も普及している商品名インビザラインは、矯正歯科用CAD/CAMシステムを利用した矯正装置の一つです。すでに世界で約420万人の患者さんにインビザライン治療が行われています。歯形をデジタル化して三次元的に治療完了までの治療計画を立てることが最大の特徴です。患者さまは、治療のプロセスや治療効果を、3Dアニメーション画像で治療前も治療中も確認することが出来ます。

矯正歯科用CAD/CAMシステムを利用しない他のマウスピース矯正では、個々の技工士の手作業で毎回歯型を使って次のマウスピースを作成するのに対し、インビザラインは、全世界100万人以上の臨床データを基に設計されています。さらに担当医が患者様毎に個別の治療計画を組み込んで作成されるため正確で再現性の高い矯正システムです。・3次元コンピューター技術による治療シュミレーション 治療開始前に3次元コンピューター技術で実際の歯の動きを予想でき、ドクターと共に治療計画を治療開始前からパソコン画面で確認することが可能です。ただし治療計画を立案する担当医によって治療効果が大きく変わってしまう為、担当医の選択や治療前診断、治療計画が重要です。
さらに詳しいことは「マウスピース型矯正装置インビザラインのページ」をご参照ください
従来型の矯正治療の場合、約7割が矯正治療時に痛みや違和感を感じるという報告もあります。しかしレーザー矯正を用いると痛みの大幅な軽減が可能です。使用レーザーは、皮膚科などでも使用しているもので、臨床例も多く安心なものを導入しております。生理的に無理のないシステムのため、体にもやさしく安心、安全な矯正治療法です。

詳しいことは、「痛くない治療を望む方法」ページへ
短期間の矯正治療ページ内、「レーザーを併用した短期間の矯正治療」部分もご参照ください。
全体的な装置を使用して、部分的に気になるところのみを治療。
歯並び・噛み合せを整えるためには、基本的には、全体的な矯正がお勧めです。
ただし、治療期間や装置の種類、費用などによって全体的な矯正をご希望されない方は、部分矯正も可能です。
例えば
・反対の前歯1本だけ治療したい
・下の前歯のガタツキのみ治療したい
・奥歯にブリッジを装着する前に両脇の歯の位置を修正する
・前歯のすきっぱのみ治療したい
など。
全体矯正、部分矯正の治療効果の違い、装置の装着範囲、費用等、ご相談時に詳しくお伝えさせて頂きます。ご相談後それぞれ比較なさってからご選択なさると宜しいと思います。