
装置を歯の表面ではなく、裏側に!
表からは見えません。人に気が付かれず、いつのまにか歯並びが改善。
裏側矯正治療は、あなたの歯並びにあわせたカスタムメイドされた装置、治療システムが必要です。裏側矯正に精通、熟練を重ねた裏側矯正専門医&裏側矯正専門の歯科技工士が院内に常籍(日本では、まれです)、あなたに最適なカスタムメイドした裏側矯正装置を製作、改良をかさね、質の高い裏側矯正治療をご提供しております。

当院が取り扱う裏側・リンガルブラケット矯正歯科装置

あなたに最適な裏側矯正システムは?
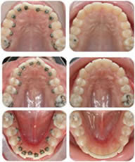
裏側矯正装置、治療法も様々!
GoSmile歯科で採用しているリンガルブラケット矯正装置(裏側からの矯正)は、患者様ごとにすべてオーダーメイドで作成されております。製造工程は、大きく分けるとすべてデジタル化されたもの(カスタムメイド型)と、歯科技工士のもとで制作されたものに分けることができます。
初診相談の際には、様々なタイプの裏側矯正システムが院内展示されていますので実際に手に取って触れて頂きながらご希望に即した装置をご選択下さい。
矯正歯科用CAD/CAMシステムを利用し、熟練度に左右された技術的な部分を均一化できる、材料の品質が保たれ長期間安定している、安全性や強度、審美性にすぐれた素材が使用できるというメリットがあります。患者様お一人お一人の歯並びをスキャニングしてコンピューターに取り込み、個別の装置とワイヤーをロボットが作るシステムです。装置一つ一つを機械によってオーダーメイドで作るとともに、ワイヤーもロボットが作成するシステムです。装置の商品名では、ハーモニー、インコグニート、ウインなどがその代表的なものです。
熟練の裏側矯正専門の歯科技工士の元、一つ一つ丁寧にセットアップされて作成使用されたシステムがあります。歴史も長く、様々なバージョンアップがなされ治療結果も良好で安心して治療出来るシステムです。代表的なものでは、クリッピーL、STb、2Dリンガルなどがあります。
歯科用CAD/CAMを使ったコンピューターメイドの裏側矯正システム
フランスの矯正医であるPatrick C.Curielにより考案・開発された裏側矯正システム

ドイツの裏側矯正専門医であるWiechmannにより開発

ドイツのWiechmannが開発、バージョンアップをさせたリンガル矯正装置

カスタムメイドの裏側矯正システム
セルフライゲーションブラケット

小型化された裏側矯正装置

ドイツのWiechmannが開発、バージョンアップをさせたリンガル矯正装置


アーチワイヤーをブラケットに挿入できる セルフライゲーション ブラケット

ブラケットがクリップ状

白い裏側矯正装置

当院の裏側矯正の特徴
裏側矯正は、どの歯科医師、どの矯正歯科医院でも出来るような治療ではありません!
裏側矯正に精通した矯正専門医院で治療を行うのが得策です。
私どもは、GoSmile歯科矯正歯科開院以前より裏側矯正治療を行って参りました。2020年現在、30年の裏側矯正の治療経験があります。その間も日進月歩する裏側矯正を日本国内だけの学びでは不十分と考え世界中で研鑽、そして改良を進めてきました。
裏側矯正は、高度な技術と知識、経験が要求されます。ほんの数年学んだだけで治療をマスター出来るようなことは出来ない難易度の高い治療法です。その為、まだまだ矯正専門医の中でも一般的ではない矯正治療なのです。
矯正医の知識・技術を表す指標として参考になるものには、日本最大の矯正学会である日本矯正歯科学会には、認定医、指導医、専門医等の資格があります。(当院には私を含め数名の認定医、指導医が在籍していますが)しかしながらこれら○○医等の資格取得の要件には裏側矯正の知識・技術評価は、一切入っておりません。あくまで表側矯正のみの実績評価なのです。大多数の医院では、裏側矯正を「全く行わない」、もしくは「ほとんど活用したことがない」というのが大多数を占めています。
よって一般的な矯正専門医院でも、ある医院で相談してみたら「仕上がりが良くない」、「治療期間が長くなる」、「治療後半に表側に装置をつける必要がある」などと言われたり、裏側矯正治療ではなく「表側の治療を薦められた」、さらには裏側矯正装置で治療を開始したものの治療途中に「もう治療の限界、表側に変更するか、治療を終えるか考えてきてください」と言われたというような方々が多いのはそのような背景があることも一つの理由です。
裏側矯正は、あなたの歯並びにあわせたカスタムメイドされた装置、治療システムで治療しましょう。
GoSmile歯科では、院内に裏側矯正装置を矯正歯科専門技工士3名が在籍し、あなたの歯並びに最適なカスタムメイドの装置を日々改良を重ね作成しております(日本では、まだまだまれな体制です。通常は外注技工で装置を作成します。)。
その為、治療中に装置のアレンジが必要になった場合や、予期せぬ装置の破損などが生じてしまった場合にも、即座に改善を行い治療の継続が可能です。
また、最近では、コンピューターセットアップを行い、装置やワイヤーをロボットが作成する裏側矯正システムも幾つかございますが、装置の紛失、装置のアレンジやワイヤーの破折などが生じてしまった場合、海外に再度製品を発注する必要が生じてしまいます。
海外メイドですので、納期に時間がかかり治療再開までには数週間を要し治療が効率よく進められない可能性を秘めているのがこれらのシステムのデメリットです。
しかしながらGoSmile歯科では、院内に裏側矯正専門の技工士が在籍中ですので、何かのトラブルが生じてしまっても適宜対応が可能で、時間的なロスを招くことなく安心して治療継続を行うことが出来るというメリットがあります。
あなたに一番適したカスタムメイドした裏側矯正装置を選択、製作、質の高い裏側矯正治療をご提供しております。

裏側矯正専門医院では、どのような歯並びでも、治療可能です。
裏側矯正は、あなたは出来ない、あなたには向いていないと言われたという患者様が多数ご来院しています。見えにくい矯正専門の治療システムと30年に及ぶ(2020時点)熟練した技術により、従来型の表側の矯正治療と同様に、どのようなタイプの歯並び、咬み合わせの状態でも治療が可能です。
表側の装置と治療期間は変わりません。さらに治療期間の短縮も可能です。
裏側矯正の治療実績、経験も十分な為、治療期間も表側の矯正装置と全く変わりません。
また、短期間の矯正治療を併用すると治療期間を大幅に短縮することまで可能です。短期間の矯正治療の方法も様々ですので、詳細ページをご参照ください。
歯を支える骨、歯ぐきまでも健康に!
大人の方で、不正咬合がある場合、歯並び、かみ合わせが悪いだけでなく、不正咬合の為に歯茎やその下の歯槽骨(歯を支える骨)までにもダメージがある方がほとんどです。
通常の矯正治療だけでは、歯並び、かみ合わせの治療は可能ですが、歯槽骨や歯茎のダメージの回復までの再生治療は困難です。短期間の矯正治療AOO・PAOOを併用すると歯並び、かみ合わせを治療するだけでなく、歯を支える骨、歯茎までも健康な状態に誘導することが出来る矯正治療法です。