交差咬合
(こうさこうごう)
交差咬合(こうさこうごう)とは?

交差咬合とは、上下の歯のかみ合わせが横にずれている状態をいいます。
これは、歯の位置異常によるもの、その位置異常のため下顎骨を横にずらしてかんでいるもの、あごの骨の変形が起こっているものなどが考えられます。
成長期に下顎骨側方偏位が認められる場合、正常な顎骨の成長を阻害し、いま以上にその状態が悪くなる可能性があります。そのため、かみ合わせのズレだけでなく、顎骨の変形を引き起こし、顔の歪みを生じる可能性があります。
原因は?
- 外傷
- ご両親から受け継いだ歪んだあごの骨
- 不十分かつアンバランスなあごの骨の成長
- 悪い癖によるもの(ほおずえ、片側咀嚼、指しゃぶり、舌癖、口呼吸)
- 位置の悪い歯の干渉によるもの
- 不十分な歯科処置によるもの(悪い銀歯、悪い差し歯によるもの)
放っておくとどうなるの?
- 咀嚼障害(咀嚼能率の低下、咬合力の低下)
- 嚥下、発音がしにくい
- お顔の変形(顔が曲がってしまう)
- 上下のあごの骨の成長障害(成長不良、過剰な成長)
- 顎関節症の原因になりやすい(下あごの運動障害、痛み、音)
- 全身への影響(胃腸障害、肩こりなど)
- 顎関節症の原因になることもある(下あごの運動障害、痛み、音)
- 口腔内の清掃不良・虫歯になりやすい・歯肉炎、歯周炎になりやすい・口臭の原因
交差咬合の場合の矯正治療
5歳以下の場合、全ての歯が乳歯の場合(永久歯が一本も生えていない状態:乳歯列期)

乳歯列の場合の“交差咬合”は、“経過を観察する場合”と“治療を開始する場合”があります。交差咬合の程度、原因によって様々ですので、一度、矯正歯科を専門に行う歯科医師にご相談ください。
経過観察の場合、半年に1回定期検診にお越しいただき、歯並びの状態がどのように変化してきているのか、その他に問題が引き起きていないか、などをチェック致します。
ただし、交差咬合になっている原因が、何なのかをきちんと調べておく必要があるかと思います。
この年代の交差咬合は、悪い癖などによって歯並びが悪くなっている場合があります。この場合、悪い癖をなるべく止めれる方向に誘導致します。この悪習癖を除去することによって、2次的な不正の防止や交差咬合が改善します。
◆ 装置
取り外しの出来る歯列矯正の装置を使用します。お家にいる時に使用していただきます。
◆ 治療期間
通常約6ヶ月前後。通院間隔4~6週間ごと。
6歳から10歳の場合

・あごの発育がバランスよく成長せず、あごの骨ごとゆがみ、交差咬合になってしまっている方
・悪い癖(ほおずえ、偏咀嚼など)によって、交差咬合になってしまった方
などがあります。
矯正歯科治療開始の時期
交差咬合の矯正治療は、すべての永久歯が生え揃ってから、開始すればよい?
答えは、NOです。
この年代の交差咬合の場合、放置しておくと益々交差咬合がひどくなる場合が、多いです。
歯だけの問題にとどまらず、お顔の形が、横に変形してしまう場合も。
あごの発育のバランスが、悪い方の場合、成長期を利用して、あごのバランスが良好になるよう誘導することが出来ます。
通常、歯科矯正治療の開始や管理下に入るにふさわしい時期です。このような状態になってしまった場合、きちんと現状の状態を矯正歯科を専門に行う歯科医師に確認してもらう必要があります。通常この時期より矯正歯科医の管理を受けていただくと、将来的にも悪いかみ合わせになりにくいと思います。
またこの時期より矯正歯科治療を開始すると、永久歯の抜歯を回避しやすい時期でもあります。抜歯は、“絶対いや”と言うご両親は、この時期までに、ぜひ矯正歯科専門医にご相談されることをお勧めいたします。
アメリカ矯正歯科学会、日本矯正歯科学会では、7才までに矯正歯科を専門に行う歯科医師の歯列矯正の診断を受けていただくことを推奨しています。

あなたのお口の交差咬合になった原因や程度にもよります。
(通常、治療期間6ヶ月前後)
通常、治療期間1~1.5年前後
などがあります。
この時期には、通常の全体的な矯正装置は必要ありません。もっと簡単な装置で、矯正歯科治療が可能です。
11歳以上25歳未満の場合(永久歯列期)

あごの成長のバランスが悪く、かつ全身成長が大きく残っている場合(身長が、伸びている方)
あごの発育が悪いが、成長が残っていない場合(身長がほぼ伸び切ってしまっている方)
交差咬合が、比較的わずかな方(ずれが、わずかな方)
治療期間も通常の方(2~3年)よりも比較的短期間に終了する場合が多いです。(約1~1.5年)
交差咬合が、比較的ひどい方(ずれのひどい方)
現在のあごに今生えている歯がすべて収めることが出来ず、あごの骨から歯が溢れかかっている状態の場合、永久歯の抜歯が必要になる方もいます。
ただし、通常の矯正治療法に加え、その他付加的な装置(例:歯科矯正用アンカースクリュー)を併用することにより、歯の抜歯を回避できる方や外科的な治療を回避出来る方もおります。
治療期間は、約2年前後。
おとなの場合(20歳後半以上・成人矯正)


交差咬合矯正のメリット・デメリット

メリット
- 歯を健康に保ちやすくなる
- 見た目が美しくなる
- 歯の着色が起こりにくくなる
- 口臭が改善する
- 発音が明瞭になる
- よく噛めるようになり、消化吸収が良くなる
- 顎関節の不調や頭痛、肩こりといった不定愁訴が改善する
- 健康でハツラツとした老後を送りやすくなる
デメリット(リスク・副作用)
- 矯正時に抜歯が必要になることがある
- 治療中に痛みが出ることがある
- 治療期間がかかる
- 治療費が高額になる
- 食事が不便になることがある
- 治療中に虫歯や歯周病のリスクが高まる
- 歯茎が下がることがある
- 治療後に後戻り現象が起こることがある
- 重度の場合、外科矯正が必要になることがある
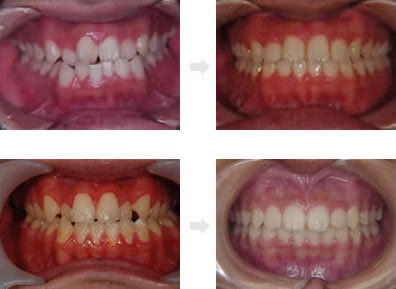
交差咬合の症例(かみ合わせが左右にずれていたり、前歯が上下逆になっている方)

開業キャンペーンにつき【無料相談】実施中。
通常は¥3300の初診相談が、今なら0円で受けられます。
しかも毎月【先着10名】限定で、キャンペーン価格での治療が可能です
- 矯正歯科治療法開く
-
- 大人の矯正
- リンガルブラケット型矯正装置(裏側からの矯正法)
- 審美ブラケットを用いたマルチブラケット矯正装置(表側の見えにくく、目立たない矯正法)
- マウスピース型矯正歯科装置
- マウスピース型(カスタムメイド)矯正(歯科)装置
- 口腔内スキャナー iTero® element
- 子供の矯正
- 子供の矯正治療(3~11歳程度)
- マウスピース型(カスタムメイド)矯正(歯科)装置ティーン
- その他
- 部分的な矯正治療
- あごの歪みも修正 サージェリーファースト
- 症例報告
- 対処法・工夫
- 痛みの少ない治療を望まれる患者様へ
- なるべく歯を抜かないようにする為には!
- 矯正用アンカースクリュ―を用いた矯正治療って?
- 矯正の治療期間は、短縮出来るのでしょうか?
- スマイル・歯がキレイになる様々な方法開く
- 矯正・審美の豆知識開く
- クリニック紹介と特徴開く