下顎前突(ががくぜんとつ)
反対咬合(はんたいこうごう)
下顎前突(ががくぜんとつ) 反対咬合(はんたいこうごう)とは?

反対咬合とは、俗に“うけ口”といわれるように、下の前歯が上の前歯より前方にでている状態をいいます。
これは、噛み癖によるもの、歯の位置や傾きの異常によって起こっているもの、上顎骨または下顎骨の位置異常や大きさの不調和によって起こっているものなどが考えられます。
成長期に下顎前突が認められる場合、正常な顎骨の成長を阻害し、いま以上にその状態が悪くなる可能性があります。
そのため下顎前突の程度がより悪化し、その状態を改善するには、健全な歯の抜歯を併用しなければならなくなる可能性が高まります。また、その状態が極めて重度の場合、手術を併用して骨の位置から改善しなければならないこともあります。
原因は?
- ご両親から受け継いだ小さなあごの骨
- ご両親から受け継いだ大きな歯
- アンバランスなあごの骨の成長(上あごの成長不良、下あごの過剰な成長)
- 悪い癖によるもの(指しゃぶり、舌癖、口呼吸)
- 鼻の病気によるもの
- 前歯の生え変わりが、良好に進まない場合
放っておくとどうなるの?
- 咀嚼障害(咀嚼能率の低下、咬合力の低下)
- 嚥下、発音がしにくい
- お顔の変形(あごの出っ張りなど)
- 上下のあごの骨の成長障害(上あごの成長不良、下あごの過剰な成長)
- 口が閉じにくい。いつも口が開いている。また笑うと前歯や歯ぐきが、よく見える
- 全身への影響(胃腸障害、肩こりなど)
- 口腔内の清掃不良・虫歯になりやすい・歯肉炎、歯周炎になりやすい・口臭の原因
下顎前突、反対咬合の場合の矯正治療
5歳以下の場合、全ての歯が乳歯の場合(永久歯が一本も生えていない状態:乳歯列期)

乳歯列の場合の“反対咬合”は、“経過を観察する場合”と“治療を開始する場合”があります。
反対咬合の程度によって様々ですので、一度、矯正歯科を専門に行う歯科医師にご相談ください。
経過観察の場合、半年に1回定期検診にお越しいただき、歯列矯正の歯並びの状態がどのように変化してきているのか、その他に問題が引き起きていないか、などをチェック致します。
ただし、反対咬合になっている原因が、何なのかをきちんと調べておく必要があるかと思います。
この年代の受け口は、悪い癖などによって歯並びが悪くなっている場合があります。
この場合、悪い癖をなるべく止めれる方向に誘導致します。この悪習癖を除去することによって、2次的な不正の防止や反対咬合が改善します。
◆ 装置
取り外しの出来る装置を使用します。お家にいる時に使用していただきます。
治療期間 通常約6ヶ月前後。通院間隔4~6週間ごと。
6歳から10歳の場合

これには、
・前歯の歯の生え方が悪くて受け口になってしまった方
・あごの発育がバランスよく成長せず、あごの骨ごと受け口になってしまっている方
・悪い癖(下唇をかむくせ、指しゃぶり、口呼吸など)によって、受け口になってしまった方
などがあります。
矯正歯科治療開始の時期
受け口の矯正治療は、すべての永久歯が生え揃ってから、開始すればよい?
答えは、NOです。
この年代の受け口の場合、放置しておくと益々下顎前突がひどくなる場合が、多いです。
歯だけの問題にとどまらず、お顔の形(アントニオ○木さんのような顔に!)が、変形してしまう場合も。
あごの発育のバランスが、悪い方の場合、成長期を利用して、あごのバランスが良好になるよう誘導することが出来ます。
通常、歯科矯正治療の開始や管理下に入るにふさわしい時期です。このような状態になってしまった場合、きちんと現状の状態を矯正歯科を専門に行う歯科医師に確認してもらう必要があります。通常この時期より矯正歯科医の管理を受けていただくと、将来的にも悪いかみ合わせになりにくいと思います。
またこの時期より矯正歯科治療を開始すると、永久歯の抜歯を回避しやすい時期でもあります。抜歯は、“絶対いや”と言うご両親は、この時期までに、ぜひ矯正歯科を専門に行う歯科医師にご相談されることをお勧めいたします。
アメリカ矯正歯科学会、日本矯正歯科学会では、7才までに矯正歯科を専門に行う歯科医師に歯列矯正の診断を受けていただくことを推奨しています。

あなたのお口の受け口になった原因や程度にもよります。
(通常、治療期間6ヶ月前後)
通常、治療期間1~1.5年前後
などがあります。
この時期には、通常の全体的な矯正装置は必要ありません。もっと簡単な装置で、矯正歯科治療が可能です。
11歳以上25歳未満の場合(永久歯列期)

あごの成長のバランスが悪く、かつ全身成長が大きく残っている場合(身長が、伸びている方)
あごの発育が悪いが、成長が残っていない場合(身長がほぼ伸び切ってしまっている方)
歯の受け口が比較的わずかな方(受け口のわずかな方)
治療期間も通常の方(2~3年)よりも比較的短期間に終了する場合が多いです。(約1~1.5年)
歯の受け口が比較的ひどい方(受け口のひどい方)
現在のあごに今生えている歯がすべて収めることが出来ず、あごの骨から歯が溢れかかっている状態の場合、永久歯の抜歯が必要になる方もいます。また、成長期のあごの成長のずれが大きい方は、外科的な治療が必要になる方もおります。外科的な矯正治療法も様々ですので、あなたのお口の状況やニーズにあった治療法を選択する必要性があります。
通常の矯正治療法に加え、付加的な装置(例:歯科矯正用アンカースクリュ―)を併用することにより、歯の抜歯や外科的矯正治療を回避できる方もおります。治療法はさまざまですので担当医とよくご相談の上ニーズにあった治療法をご選択ください。治療期間は、約2年前後。
おとなの場合(20歳後半以上・成人矯正)


下顎前突、反対咬合矯正のメリット・デメリット

メリット
- 歯を健康に保ちやすくなる
- 見た目が美しくなる
- 歯の着色が起こりにくくなる
- 口臭が改善する
- 発音が明瞭になる
- よく噛めるようになり、消化吸収が良くなる
- 顎関節の不調や頭痛、肩こりといった不定愁訴が改善する
- 健康でハツラツとした老後を送りやすくなる
デメリット(リスク・副作用)
- 矯正時に抜歯が必要になることがある
- 治療中に痛みが出ることがある
- 治療期間がかかる
- 治療費が高額になる
- 食事が不便になることがある
- 治療中に虫歯や歯周病のリスクが高まる
- 歯茎が下がることがある
- 治療後に後戻り現象が起こることがある
- 重度の場合、外科矯正が必要になることがある
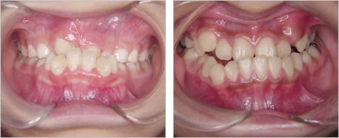
下顎前突、反対咬合の症例(前歯が上下逆になっている方)

開業キャンペーンにつき【無料相談】実施中。
通常は¥3300の初診相談が、今なら0円で受けられます。
しかも毎月【先着10名】限定で、キャンペーン価格での治療が可能です
- 矯正歯科治療法開く
-
- 大人の矯正
- リンガルブラケット型矯正装置(裏側からの矯正法)
- 審美ブラケットを用いたマルチブラケット矯正装置(表側の見えにくく、目立たない矯正法)
- マウスピース型矯正歯科装置
- マウスピース型(カスタムメイド)矯正(歯科)装置
- 口腔内スキャナー iTero® element
- 子供の矯正
- 子供の矯正治療(3~11歳程度)
- マウスピース型(カスタムメイド)矯正(歯科)装置ティーン
- その他
- 部分的な矯正治療
- あごの歪みも修正 サージェリーファースト
- 症例報告
- 対処法・工夫
- 痛みの少ない治療を望まれる患者様へ
- なるべく歯を抜かないようにする為には!
- 矯正用アンカースクリュ―を用いた矯正治療って?
- 矯正の治療期間は、短縮出来るのでしょうか?
- スマイル・歯がキレイになる様々な方法開く
- 矯正・審美の豆知識開く
- クリニック紹介と特徴開く