上顎前突
(じょうがくぜんとつ)
上顎前突(じょうがくぜんとつ)とは?

上顎前突とは、俗に“でっ歯”といわれるように、上の前歯や上あご(上顎骨)が、著しく前方に突出している状態をいいます。
これは、歯の位置や傾きの異常によって起こっているもの、上顎骨または下顎骨の位置異常や大きさの不調和によって起こっているものなどが考えられます。
成長期に上顎前突が認められる場合、正常な顎骨の成長が起こらず、いま以上にその状態が悪くなる可能性があります。
原因は?
- ご両親から受け継いだ小さなあごの骨
- ご両親から受け継いだ大きな歯
- 不十分なあごの骨の成長(下あごの成長不良、上あごの過剰な成長)
- 悪い癖によるもの(指しゃぶり、舌癖、口呼吸)
- 鼻の病気によるもの
- 指や舌をかむ、などの悪い癖
放っておくとどうなるの?
- 咀嚼障害(咀嚼能率の低下、咬合力の低下)
- 嚥下、発音がしにくい
- お顔の印象が悪い(口元の出っ張りなど)
- 上下のあごの骨の成長障害(成長不良、過剰な成長)
- 口が閉じにくい。いつも口が開いている。また笑うと前歯や歯ぐきが、よく見える
- 前歯に外傷を受けやすい
- 顎関節症の原因になることもある(下あごの運動障害、痛み、音)
- 全身への影響(胃腸障害、肩こりなど)
- 口腔内の清掃不良・虫歯になりやすい・歯肉炎、歯周炎になりやすい・口臭の原因
上顎前突の場合の矯正治療
5歳以下の場合、全ての歯が乳歯の場合(永久歯が一本も生えていない状態:乳歯列期)

乳歯列の場合の“出っ歯”は、通常、経過を観察する場合が多いです。
半年に1回定期検診にお越しいただき、歯並びの状態がどのように変化してきているのか、その他に問題が引き起きていないか、などをチェック致します。
ただし、出っ歯になっている原因が、何なのかをきちんと調べておく必要があるかと思います。
この年代の出っ歯は、悪い癖などによって歯並びが悪くなっている場合が多いようです。
この場合、歯並び自体の治療は行いませんが、悪い癖をなるべく止めれる方向に誘導致します。この悪習癖を除去することによって、2次的な不正の防止や出っ歯が改善することがあります。
6歳から10歳の場合

これには、
・前歯の歯の生え方が悪くて出っ歯になってしまった方
・あごの発育がバランスよく成長せず、あごの骨ごと出っ歯になってしまっている方
・悪い癖(下唇をかむくせ、指しゃぶり、口呼吸など)によって、出っ歯になってしまった方
などがあります。
矯正歯科治療開始の時期
出っ歯の矯正治療は、すべての永久歯が生え揃ってから、開始すればよい?
答えは、NOです。
もちろん個人差はありますが、すべての永久歯が生え揃ってからでは、遅い場合があります。悪くなった歯並びを治療するのではなく、悪くなる前に治療をすることをお勧めいたします。特に、あごの発育が悪い方の場合、成長期を利用して、あごの発育が良好になるよう誘導することが出来ます。
通常、歯科矯正治療の開始や管理下に入るにふさわしい時期です。このような状態になってしまった場合、きちんと現状の状態を矯正歯科を専門に行う歯科医師に確認してもらう必要があります。通常この時期より矯正歯科医の管理を受けていただくと、将来的にも悪いかみ合わせになりにくいと思います。
またこの時期より矯正歯科治療を開始すると、永久歯の抜歯を回避しやすい時期でもあります。抜歯は、“絶対いや”と言うご両親は、この時期までに、ぜひ矯正歯科を専門に行う歯科医師にご相談されることをお勧めいたします。
アメリカ矯正歯科学会、日本矯正歯科学会では、7才までに矯正歯科を専門に行う歯科医師による歯列矯正の診断を受けていただくことを推奨しています。

あなたのお口の上顎前突になった原因や程度にもよります。
(通常、治療期間6ヶ月前後)
通常、治療期間1~1.5年前後
などがあります。
この時期には、通常の全体的な矯正装置は必要ありません。もっと簡単な装置で、矯正歯科治療が可能です。
11歳以上25歳未満の場合(永久歯列期)

あごの成長が悪く、かつ全身成長が大きく残っている場合(身長が伸びている方)
あごの発育が悪いが、成長が残っていない場合(身長がほぼ伸び切ってしまっている方)
歯の出っ歯が比較的小さい方(出っ歯の小さい方)
治療期間も通常の方(2~3年)よりも比較的短期間に終了する場合が多いです。(約1~1.5年)
歯の出っ歯が比較的大きい方(出っ歯の大きい方)
ただし、通常の矯正治療法に加え、付加的な装置(例:歯科矯正用アンカースクリュー)を併用することにより、歯の抜歯の回避や治療期間の延長を回避できる方もおります。通常、治療期間は、約2年前後。
おとなの場合(20歳後半以上・成人矯正)


上顎前突矯正のメリット・デメリット

メリット
- 歯を健康に保ちやすくなる
- 見た目が美しくなる
- 歯の着色が起こりにくくなる
- 口臭が改善する
- 発音が明瞭になる
- よく噛めるようになり、消化吸収が良くなる
- 顎関節の不調や頭痛、肩こりといった不定愁訴が改善する
- 健康でハツラツとした老後を送りやすくなる
- 前歯をぶつけて折るリスクが下がる
デメリット(リスク・副作用)
- 矯正時に抜歯が必要になることがある
- 治療中に痛みが出ることがある
- 治療期間がかかる
- 治療費が高額になる
- 食事が不便になることがある
- 治療中に虫歯や歯周病のリスクが高まる
- 歯茎が下がることがある
- 治療後に後戻り現象が起こることがある
- 重度の場合、外科矯正が必要になることがある
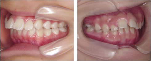
上顎前突の症例(いわゆる出っ歯の方)

開業キャンペーンにつき【無料相談】実施中。
通常は¥3300の初診相談が、今なら0円で受けられます。
しかも毎月【先着10名】限定で、キャンペーン価格での治療が可能です
- 矯正歯科治療法開く
-
- 大人の矯正
- リンガルブラケット型矯正装置(裏側からの矯正法)
- 審美ブラケットを用いたマルチブラケット矯正装置(表側の見えにくく、目立たない矯正法)
- マウスピース型矯正歯科装置
- マウスピース型(カスタムメイド)矯正(歯科)装置
- 口腔内スキャナー iTero® element
- 子供の矯正
- 子供の矯正治療(3~11歳程度)
- マウスピース型(カスタムメイド)矯正(歯科)装置ティーン
- その他
- 部分的な矯正治療
- あごの歪みも修正 サージェリーファースト
- 症例報告
- 対処法・工夫
- 痛みの少ない治療を望まれる患者様へ
- なるべく歯を抜かないようにする為には!
- 矯正用アンカースクリュ―を用いた矯正治療って?
- 矯正の治療期間は、短縮出来るのでしょうか?
- スマイル・歯がキレイになる様々な方法開く
- 矯正・審美の豆知識開く